• 로그인
  • 회원가입
  • 고객센터
  • 전체메뉴
  • 신약의세계
    신약에 대한 모든것

    자죽염

    다슬기

    사리장

    계분백

    유황오리

    홍화씨

    오핵단

    난반/녹반

    동물/식물

    광석물

    천연약선

  • 증득의장
    배움과 실천

    수행인의 건강학

    신암론 공부방

    영구법(쑥뜸)

    도해사진첩

    인산 녹취록

    동영상 강좌

    칼럼

  • 인산학
    인산 선생님과 가르침

    인산 김일훈

    인산학

    신약본초

    김일훈 옹 소개

    김일훈 옹 발자취

    이야기속으로

    사진친필영상

    생각의 창

    우주와 신약

    구세신방

    신약

    인산禪사상

    대도론

    신암론

    천부경

    신약본초 영상

    신약본초 음성

    신약본초약물

  • 인산의학
    인산학과 의학의 만남

    생활 인산의학

    인산의학

    자력승전법

    쑥뜸

    교정법

    자연건강법

    태교법

    성인병

    암

    부인병및 산후병

    소아

    정신질환

    치과/안과/이빈후과

    탕약

    기타질환

  • 한의학
    뿌리와 지혜가 있는 의학

    본초약재

    경혈이야기

    동의학개론

    인체해부학

    방제학

  • 커뮤니티
    반갑습니다

    정다운 게시판

    인산학 건강상담 (문의게시판)

    인산학 체험기

    일천편의 시

실시간인기검색어
  • 죽염
  • 유황오리
  • 사리장
  • 영구법
  • 오핵단
  • 오신
  • 난반
  • 호두
  • 서목태
  • 간암
  • 계분백
  • 암
도해자죽염

최근게시물

  • 약쑥
  • 천부경(天符經)
  • 소금
  • 대나무
  • 해독(解毒)
  • 괴질(怪疾)
  • 인산(仁山)
  • 난치병
  • 마늘
  • 간염

최근댓글

도해몰

추천 게시물 - 꼭 읽어보세요.

  • 오신
  • 죽염
  • 유황오리
  • 자죽염
처음 ➢ 고객센터 ➢ 도해 백과사전

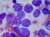
백혈병

작성자 전미라
작성일 2013-01-15 (12년 전)
조회수 1,900 회

인산학적으로

백혈병은 비선으로부터 피를 흡수하는 간의 혈색소 조직신경의 색소가 고갈됨으로 인하여 피가 점차 줄어드는 병을 말한다.

 

현대의학에서는

백혈병(Leukemia)은 암세포로 변한 비정상 white blood cell(백혈구)이 증식하는 수가 매우 많아지는 병으로 혈액 또는 골수 속에 종양세포(백혈병 세포)가 생기는 질병이다.
백혈병은 경과에 따라 급성백혈병과 만성백혈병으로 구분합니다. 또한 급성 백혈병은 백혈병 세포의 종류에 따라 급성골수성백혈병(급성비림프구성백혈병)과 급성림프구성백혈병으로 나뉩니다. 급성림프구성백혈병은 림프구계 백혈구가 악성 세포로 변하여 골수에서 증식하고 말초 혈액으로 퍼지는데 간, 비장, 림프계, 대뇌, 소뇌, 척수 등을 침범하는 질병입니다. 대개 골수나 말초혈액에 림프아세포가 20% 이상 차지하는 경우를 림프구성백혈병으로 정의 한다.

 

 

 

태그 :
  • 죽염
  • 오핵단
  • 벌나무
  • 폐렴
  • 호두기름
  • 밭마늘
  • 사리장

사리장 죽염장류

만병을 통치하는 인류 최후의 물질

도해몰에서 구입하기

게시물 최근수정 : 2013-01-17 18:42:05
목록가기

댓글 ( 0개 )

로그인 하시면 이 게시물에 댓글을 남길 수 있습니다.

인증 정보

인증 정보

도해닷컴
도해몰
  • 회사소개
  • 이용약관
  • 개인정보취급방침
  • 저작권보호정책
  • 광고/제휴문의
  • 고객센터
  • 사이트맵
  • 찾아오시는길

충북 청주시 상당구 문의면 등동 2길 20-20 TEL : 043-224-7512 / FAX : 043-224-7513 소비자상담실 : 1588-7307

Copyright © DOHAE Co. Ltd. All rights reserved.